Implant restoration products

The Digital Workflow

All designs start with scanning. Either an intraoral scan performed chairside, or a traditional stone model scanned in the lab. 

Placeholder Picture
Placeholder Picture

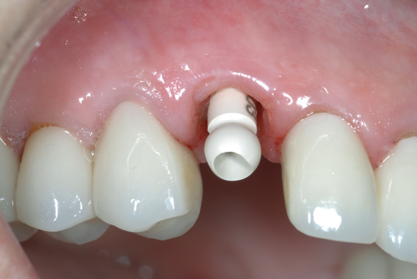
Intraoral and Lab scan bodies

Scan bodies are used to transfer a digital representation of the seact loaction of the implant. Scan bodies are available for all of the most common implant systems. These are screwed into placed (seating checked by x-ray for I/O) and then scanned. The files are uploaded in the same way as a crown or bridge, with the addition of implant information. (See the section on scanning for tips on this process.)

Placeholder Picture

Uploading scans to Atlantis

Scans are uploaded to Atlantis with complete diagnostic information. The software AI recognizes the scan body and calculates the exact implant position.

Placeholder Picture

Custom abutment proposal

Atlantis technicians design a custom abutment proposal based on the digital files and Rx. The proposal is confirmed by DDentLabs staff or modified as needed.
Once the proposal is confirmed the design goes immediately into production.

Placeholder Picture

"Core File" design

As soon as the proposal design is approved, Atlantis sends a core file to our lab that we use for the restoration design. This file includes an embedded representation of the abutment that they are milling. This allows us to have the crown or bridge designed and milled and into the sintering ovens on the same day we submitted the order. Many times this happens on the same day the patient was scanned!

Placeholder Picture

3D Models

We 3D print models for all custom abutment restorations. Printed models have an embedded implant analog much like a stone model lab analog. Every restoration is hand adjusted and articulated for a perfect fit.

Placeholder Picture

Atlantis ASA (angled screw access) abutments

Many times implant placement does not allow traditional screw retained design. Atlantis offers an angled screw access solution shown below with a custom abutment driver.

Placeholder Picture

Implant crown and bridge – DDentLabs is cost effective and efficient

Crowns and bridges on Atlantis custom abutments have become a core specialty for us. We are amazingly cost effective and FAST. Many times this means completing an order scanned in the morning and sometimes even shipped within a few days. (We promise 7 working days). We have become experts at this workflow and are always available for support and on site training.

Placeholder Picture